Rashaad Penny - Ankle/Fibula Fracture

Written by: Dr. Matt Provencher

Share on:

Player Updates

10/10/2022 Update: It was updated that Rashaad Penny has suffered a fibula fracture and not a tibia fracture. The surgical fixation (if needed) would still be the same needing both plates and screws depending on degree of displacement of the fracture. Rashaad would still miss the remainder of the season if surgical fixation is needed. The fibula is the smaller bone on the lateral (outside) portion of the ankle and lower leg.

10/9/2022: Seattle Seahawks RB Rashaad Penny suffered a severe ankle injury against the New Orleans Saints. He was seen being helped off by the medical staff on the sideline before being taken to the locker room for further evaluation.

He was later seen in a walking boot and on crutches with what was then reported to be an ankle fracture by Ian Rapoport.

#Seahawks RB Rashaad Penny suffered a fractured tibia, sources say, and he’ll have tests tomorrow to determine associated damage to see if surgery is necessary. As of now, it’s likely. Heart-breaking.

— Ian Rapoport (@RapSheet) October 9, 2022

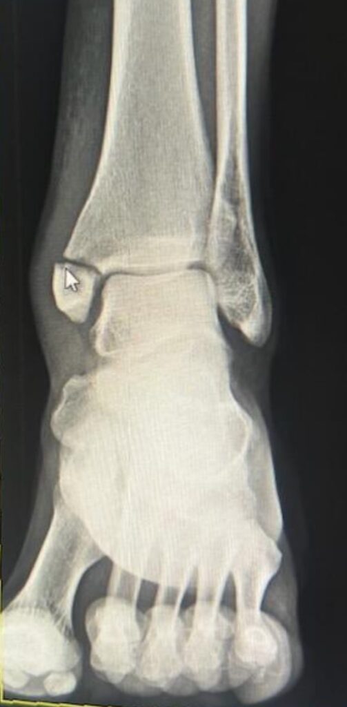
Tibia fractures can be season ending if surgery is required. When the fracture is low on the ankle and especially when it extends into the joint it needs screws and/or plates to fixate it to allow for proper healing. Fractures like the one seen below (this is not an x-ray of Rashaad Penny) are unstable and require surgery.

Rashaad Penny - Ankle/Fibula Fracture

Rashaad may have also suffered ligament damage like that of a high ankle which can be associated with the fracture injury. High ankle ligament damage can increase symptoms that also have to be addressed.

Rashaad Penny - Ankle/Fibula Fracture

Rashaad Penny will likely miss the remainder of the season as of right now. More information will let us know for sure but at a minimum Kenneth Walker III will be the starting back for the foreseeable future.